HOME ≫ 診療内容 ≫
診療内容
むし歯治療
ミュータンス菌などのむし歯病原菌が口の中の糖を利用して「酸」を作り、その酸によって歯の表面が溶かされる病気です。
そのため、むし歯病原菌に侵された部分を取り除いたり、溶けた部分を詰めたり、かぶせ物をしたりして治療します。
麻酔の注射の前に表面麻酔を塗布して、麻酔液をゆっくりと注入したり、細い麻酔針を使用するなど、なるべく痛みの少ない治療を心がけています。
むし歯の段階(C1~C4)により治療法が異なります。
C1:エナメル質内のむし歯
歯の表面のエナメル質が溶け始めた段階のむし歯です。
痛みがなく、ついつい放っておきがちです。
むし歯の部分だけを削除して、合成樹脂(レジン)を充填します。
C2:象牙質に達したむし歯
むし歯がエナメル質の内側の象牙質に達したものです。象牙質はエナメル質により軟らかい組織なので、むし歯の進みかたが速くなります。C1 と同様に合成樹脂(レジン)を充填するか、範囲が大きい場合は削ったあとに歯型を取り、金属やセラミックの詰め物(インレー)を作り、欠損部を修復します。詰め物(インレー)の材質には保険の金銀パラジウム合金以外にセラミックや金合金などいくつか種類があります。
インレー料金表はこちら
C3:歯髄(神経)に達したむし歯
むし歯が象牙質の内側の歯髄に達したものです。この段階では、歯髄に細菌が進入し激しい痛みを伴うことがあります。歯髄の炎症が重度な場合は、歯髄組織を除去したあとで、根管内を消毒し、シーリング材を用いて充填します。また、歯髄が死んでしまった歯はもろくなりますので、クラウンなどの被せ物をします。
C4:歯質が失われたむし歯
歯冠が溶けて無くなり、根の部分だけが残っている状態です。 C3の場合と同様に治療し被せ物をするか、やむを得ない場合は残った歯根部を抜歯します。 抜歯した部分は傷が治った後に、ブリッジ・部分入れ歯・インプラントなどの方法で補うことになります。
小児歯科
歯医者さんはむし歯になったから、ケガをしたから行くところではなく、何もない時にこそ受診しておいてほしい場所です。年齢とともに変化するお口のなかの状態、歯磨きのコツ、突発的なケガ、歯並びの心配・・・。いつでも、どんな小さな困りごとにも力になれるホームドクターでありたいと思っています。お気軽にご相談ください。
乳児検診
はじめて歯が生えたとき、もしくは1歳のお誕生日までに歯医者さんデビューすることが推奨されています。ぜひお気軽にご来院ください。
クリーニング
ご自宅の歯磨きでは取れない汚れやお茶などによる歯の着色を、歯科医院のブラシできれいに落とします。
シーラント
むし歯になりやすい奥歯の溝をあらかじめシーラント材で埋める処置です。
特に生え始めの6歳臼歯には必ず行ってあげたい処置です。
フッ素塗布
フッ素塗布は、むし歯予防になるだけではなく、初期のむし歯を治すことができます。
数か月おきの検診時に、歯科医院専用の高濃度フッ素を塗ると効果的です。
ラバーダムを使用したむし歯治療
ラバーダムでお子さまの舌や頬を鋭利な道具から守り、お水や薬液がお口に溜まることを防ぎます。
また、唾液を完全に排除できるため、外れにくい詰め物、無菌的な処置が可能です。
保隙治療
ケガやむし歯で早くに歯を失ってしまった場合、その下から生えてくる永久歯のスペースを保つために保隙装置が必要となる場合があります。保険適応・自費診療となるもの、どちらの装置も取り扱っています。
こどもの口のケガ
歯をぶつけて血が出ている、歯が揺れている、歯が抜けてしまった…
様々な子供の口・歯のケガに対応いたします。
子どもの歯のケガは思いがけないタイミングでおこるもの。しかしケガから時間が経ってしまうと、処置の選択肢が狭まる可能性があります。また、その時に問題がないようにみえても、時間が経ってから影響が出ることがありますので、早めの受診をおすすめします。
子どもがケガをしたら
まずは全身状態の確認をしてください。
意識がない(短時間でも)、吐き気、頭痛、けいれんがある、ぼんやりしている、普段と様子が違う
このような状況があった場合には、歯のことはさておいて、大きな病院にかかるようにしてください。
まずは止血する
たくさん血が出ていたらガーゼ等で押さえて出血を止める。血が止まったら落ち着いてケガをした箇所、ケガの程度を確認しましょう。
- 歯が欠けた/歯がグラグラする/歯ぐきから血が出ている・・・硬いものを食べないようにするなど、歯にダメージを与えないようにして、なるべく早く歯科を受診してください。
- 歯がなくなっているけど、周囲に抜けた歯が見当たらない・・・歯が骨の中に埋まってしまった可能性があります。無理に引っ張り出さず、なるべく早く歯科を受診してください。
- 歯が抜けた・・・抜けた歯は、歯牙保存液か冷たい牛乳に浸して(ない場合は乾燥を防ぐためにラップ等にくるんで)急いで歯科を受診してください。
※水道水で長時間洗わず、根っこ部分を持たないでください!
早めのご相談を
ケガの状況によって、必要な処置は様々です。
ケガから時間が経ってしまうと、処置の選択肢が狭まる可能性があります。
また、その時に問題がないように見えても、時間が経ってから神経が死んでしまったり、大人の歯に影響を及ぼすことがあります。歯のケガの場合は、なるべく早めの受診がおすすめです。
歯周病治療
歯周病とは
歯周組織が歯垢(プラーク)に含まれている歯周病菌に感染し、歯茎が腫れたり、出血したり、最終的には歯周組織が破壊されて歯が抜けてしまう病気です。 歯肉炎、歯周炎とも呼ばれています。日本の成人の約80%が歯周病にかかっていると言われています。
歯垢(プラーク)は時間が経つと歯磨きでは取り除くことができない歯石になります。 歯石自体は歯周病の原因ではありませんが、歯みがきでは除去できないため、周囲のプラークの除去を困難にします。
歯周病治療の流れ
| 1.口腔内の検査 カウンセリング 歯周ポケット診査、レントゲン撮影、口腔内写真撮影を行います。歯周病の原因は1人1人異なりますので、治療していく前に検査を行い、1人1人に適した治療を行っていきます。 |
| 2.プラークの除去 歯周病の原因は歯垢(プラーク)なので、プラークを除去し付きにくくすることが治療の基本となります。 歯科衛生士による歯みがき指導や歯間ブラシ、デンタルフロスなどで改善をはかります。簡単に落とせる歯石やプラークを落していき、検査にて改善を確認します。軽度の歯周炎の方はここまでで治療が完了します。 |
| 3.外科的処置 中等度~重度の歯周炎の場合、歯石が深くまであるため取りきれません。 このような場合は外科的な治療が必要となります。 麻酔をしてから歯肉の切開をし、歯と歯肉の間に溜まっていた歯石や歯垢(プラーク)除去します。 |
| 4.メンテナンス 口の中の細菌を完全になくすことは難しく、歯周病は再発し易いので、治療完了後も定期的なメンテナンスが必要となります。 再発防止には患者さん自身による歯垢(プラーク)のコントロールだけでなく、定期的に歯科医師や歯科衛生士による検診や治療を受け、歯をメンテナンスすることが重要です。 |
当院では3カ月から半年に一回の歯石除去(スケーリング)をお勧めしています。 また、スケーリングを行う前には歯周検査を行い、染め出しを行って磨き残しの歯垢(プラーク)を確認します。それらを用いて患者様に合わせたブラッシング指導を行っております。
予防歯科
予防歯科
歯の健康を維持するには、定期的なメンテナンス(リコール)を受けることが大切です。
家庭では磨けてない部位のプロによるクリーニング、ブラッシング指導を3カ月に一回受けることで、むし歯や歯周病になりにくいことが実証されています。
3ヶ月毎にお口の細菌をクリーニングしてお口の環境をリセットすることにより悪玉菌が悪さをできないようにしましょう。
また、加齢により歯肉が下がることによって歯肉の境目付近にむし歯ができやすくなります。当院では大人のフッ素塗布も積極的に行っております。
ジルコニア・セラミック治療
ジルコニアとは
ジルコニア(正式名:二酸化ジルコニウム)とは、包丁やNASAのスペースシャトルに使われるほどの強度と、人工ダイヤモンドとして装飾品に使われるほどの美しさをあわせもった素材です。
日本では、2005年に厚生労働省の認可を受けた比較的新しい歯科素材ですが、歯のつめ物やかぶせ物だけでなくインプラントなどの幅広い歯科治療に使われるようになりました。
ジルコニアとセラミックの違いは?
ジルコニアはセラミックの一種です。ジルコニアセラミックとも呼ばれていますが、従来のセラミックと大きく異なるのが強度です。ジルコニアは、ダイヤモンドのような輝きだけでなく、金属に匹敵するほどの強度があります。
そのため、ジルコニアは適応範囲が広い素材であることが、従来のセラミックとの大きな違いです。
ジルコニア・セラミック治療のポイント
- むし歯になりにくい素材
セラミック素材は保険治療の素材に比べ、表面の凹凸がほとんどないため、つるっとしていて汚れや細菌がほとんどつきません。また非常に精密に作製されるため、歯とセラミックとのすき間や段差がほとんどありません。そのためセラミックで修復した歯は、歯周病やむし歯になりにくいのです。 - 白くて美しい歯
患者様ごとに微妙に異なる歯の色も再現できます。治療後の歯がどこかわからないほど、天然の歯と変わらない、透明感のある白い歯を手に入れることができます。 - 変色や色素沈着が少ない
保険治療も初めはきれいに見えるのですが、月日が経つにつれて劣化したり変色したりして、だんだんと黄ばんでしまいます。セラミック素材はそういったことが起こらず、半永久的に美しさを保つことができます。
※オールセラミッククラウンと保険クラウンの透明度・色味の違い(模型上で比較)

- からだに優しく、金属アレルギーの心配もない
お口の中は常に唾液にさらされています。銀歯は知らず知らずのうちにその成分が唾液によって溶け出して、数年以上の長い期間をかけて金属アレルギーを引き起こす可能性があります。またその溶け出した金属が原因で歯ぐきが黒く染まってしまうこともあります。セラミック素材はこうした体への影響が少ないので、安心してお口の中に使用していただけます。
入れ歯
入れ歯(義歯)をご希望の患者様へ
金属の留め金(クラスプ)が目立つため見た目を気にされる方には、ノンクラスプデンチャーをご用意しております。口腔内の状況によってはお勧めできない場合もあります。詳しくはご相談ください。
入れ歯の種類
入れ歯は大きく「総入れ歯」と「部分入れ歯」に分けることができます。
①総入れ歯
全ての歯を失ってしまった場合に使う入れ歯です。
顎の裏面も覆うような大きな入れ歯のことを指します。
すべての歯を人工歯によって補います。
②部分入れ歯
歯を失った部分にのみ使用する入れ歯です。 歯が1本でも残っていれば、部分入れ歯を作ることになります。 残っている健康な歯を利用して入れ歯を固定します。
入れ歯の材質
①保険適用の入れ歯
プラスチックの一種であるレジンを使用した一般的な入れ歯です。部分入れ歯の場合は他の歯に針金を引っかけて固定させるため、口を開けると金属部分が見えます。床と呼ばれるピンク色の部分であるレジンは割れるリスクがあるため、一定の厚みをつけて作成されます。そのため、口に入れたときの違和感が大きく、また温度も感じにくいため、以前と同じような食べる感覚の再現が難しくなります。なるべく患者様のお口に合ったものを作製いたしますが、保険の規定上、すべてのお悩みを解決できる設計にならないことがあります。メリットとしては、安価で作製できることと、修理がしやすいことがあげられます。
②金属床義歯
歯ぐきに触れる部分が金属で作られている入れ歯です。 金属にすることで入れ歯を薄くすることができるので、保険適用の入れ歯よりもしゃべりやすかったり、食べ物の温度も伝わりやすく、おいしく食事ができます。
金属なので耐久性に優れており、残っている歯への影響も少ないです。
自費診療(保険外診療)による入れ歯になります。
症例紹介
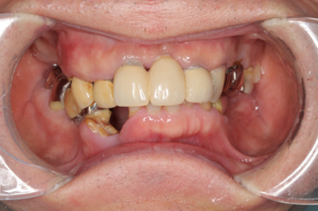
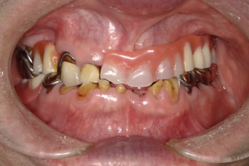
70代男性。修理を繰り返した義歯で噛みにくくなったために金属床義歯治療を行った症例。
-
治療前 -
治療後
治療内容:義歯の人工歯が摩耗していたうえに見た目にも支障があったため、噛み合わせの高さを挙上し、旧義歯に代わって、上下顎金属床義歯を製作しました。
治療期間:約12か月間
リスク・副作用:経年的な顎骨の吸収に対する調整の必要性、義歯を装着している違和感など
③ノンクラスプ・デンチャー
従来の入れ歯にあったような金属のバネが無く、半透明の材質なので装着しているように見えず、目立たない入れ歯です。
自費診療(保険外診療)による入れ歯になります。

歯の欠損治療
歯の欠損治療とは
歯の欠損・かみ合わせ治療とは、歯を失ってしまった部位や不調をきたしている部位に何かしらの人工物を補い、嚙み合わせを適正な状態に回復させる治療のことをいいます。
当院では、やむを得ず歯を抜く必要がある場合、必ずこの欠損治療について丁寧にご説明し、患者様のご要望やニーズに合わせたご提案を行っています。
欠損治療が必要な理由とは?
前歯がなくなると見た目に困りますが、奥歯を1本失っただけであれば、それほど噛むことに支障をきたさないでしょう。初めて歯を抜くことになった方からも「何もせずそのままにしたらダメなんですか?」とよくご質問いただきます。もちろん今すぐ何かが起こるわけではありませんが、抜いた部位をそのままにしておくと次のような問題が起こります。
①抜いた部位の両隣の歯が倒れてくる
食事などの噛み合わせの力によって、なくなってしまった部位の両隣の歯がそのスペースに向かって少しずつ倒れ始めます。さらに放置しておくと、今度はその隣の歯が傾き始め、またさらに…というようにドミノ倒しで全体の歯並びが大きく動いてしまいます。噛み合わせが変わることで食べづらくなったり、歯並びの見た目も気になるようになったり、生活に支障が出てくる場合があります。崩れてしまった歯並びをもとに戻すためには矯正治療をするしか選択肢がありません。
②反対側の歯が伸びだす
これまで日常的に噛み合っていたことによってその位置を保っていた反対側の歯は、噛み合う相手を失ったことで伸びだしてきます。歯自体の長さが伸びるわけではなく、骨に埋まっていた部分がだんだんと移動してくるのです。こうなってしまうと、この歯を元の位置まで再度埋め込むことは、かなり難しくなります。伸びてしまった分だけ反対側の歯とのスペースがなくなり、欠損補綴を行うこと自体が難しくなってしまいます。最終的には反対側の歯ぐきにぶつかるまで伸びてきてしまうこともあります。
③人前で口を開けるのが億劫になる
いわゆる”歯抜け”の状態ですと、他人からの目線が気になって人前で口を開けることに抵抗を感じるようになります。また会話をするにも歯がないところから空気が漏れるため、発音や滑舌が悪くなる原因となります。
この他にも、抜きっぱなしの歯の本数によっては、顎の関節に症状が現れたり、頬がこけて見えたり、口元のしわやたるみにつながったりすることもあります。こういった症状を防ぐためにも、歯を抜く前に欠損治療について充分に相談を行い、治療方針を決めておくことがとても大切なのです。
当院で行っている欠損治療の方法
①入れ歯
欠損部位を補う最も簡単な方法です。噛み心地が悪く、自分の歯と比べて10%ほどしか噛む力がないとされています。食後に外して清掃する必要があります。部分入れ歯の場合は隣の歯に針金を引っかけて固定するため、口を開けたり笑ったりすると針金が見えて見た目に影響します。保険適用で治療できますが、針金を使わない審美性に富んだものや、噛み心地やフィット感を改良した保険適用外の入れ歯もあります。
入れ歯(義歯)料金表はこちら②ブリッジ
歯がなくなった部位の両隣の歯を削り、削った部分にかぶせ物をして、欠損部分にはニセの歯(ダミー)を作成し、両隣と連結させて固定する方法です。入れ歯と違って歯に固定するので取り外しする必要はありません。ただし、連結しているダミーの歯の周囲は汚れがたまりやすいため、お手入れが重要になります。歯間ブラシを使ってダミーの歯の横や下を丁寧に清掃しなければなりません。大きな欠点は、両隣の歯がむし歯もなく健康な状態であったとしても大きく削らないといけないため、健康な歯に大きなダメージを与えてしまう治療方法であることです。
ブリッジの種類は、保険適用の素材と、審美性と汚れの付きにくさを兼ね備えた保険適用外の素材があります。
それぞれの欠損治療にはメリットとデメリットが存在します。
患者様によってどの治療方法が適しているか、充分に検討する必要があります。当院では正確な診査・診断をもとに、患者様のご要望に応じた治療計画をご提案いたします。ぜひお気軽にご相談ください。
症例
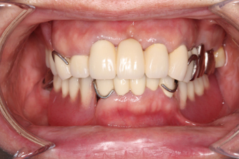
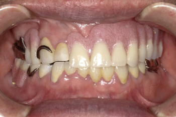
50代男性。全顎的な虫歯と歯周病を治療した症例。
-
治療前 -
治療後
治療内容:噛み合わせの高さが低下し、ほぼすべての歯が虫歯と歯周病になっていたため、歯茎の治療を行った上で、審美的な被せものを製作しました。
治療期間:約12か月間
リスク・副作用:経年的な顎骨の吸収に対する調整の必要性、義歯を装着している違和感など
顎関節症
顎関節症のこんな症状でお困りの方はぜひご相談ください。
- 口が大きくあかない(指3本分あかない)
- 顎(耳の前あたり)が痛い
- 耳元で音が鳴る(カクカク、ジャリジャリと関節の音がする)
これらは顎関節症の3大症状であり、こういった症状が認められる場合には「顎関節症」と診断される可能性があります。
顎関節症の患者様は若い方(特に女性)を中心に近年増加傾向にあります。これは、顎の筋力や骨格、耐久力が男性に比べ弱いことなどが理由として考えられます。ここ20年程度で増加の一途をたどり、現代ではむし歯・歯周病に次ぐ3大歯科疾患の一つとして挙げられています。
顎関節症の症状は重症化すると、頭痛・めまい・肩こり・耳鳴りなど全身の不調に発展することがあります。
顎関節症を引き起こす原因や誘因はひとつではなく、さまざまなものがあります。なかでも食いしばり歯ぎしりなどの癖による部分は、かなり大きいと考えられます。精神的な問題、神経生理学問題、かみ合わせの問題、筋肉そのものの問題、全身の病気や状態の問題が絡み合い、また、極端な例では、交通事故でハンドルに顎をぶつけ、外傷性の顎関節症になるという場合もあります。
当院ではまず患者様へよく問診してから、各種検査を行い、診断・治療していきます。
正しい診断と正しい治療法が必要なのはもちろんですが、患者様にご自分の関節の状態と治療の目的を理解していただくことが重要です。最終的には、再発しないようご自分で管理できることが目標になります。
訪問診療
寝たきり、お身体の不自由、認知症などによって通院が難しい方を対象に、歯科医・歯科衛生士がご自宅や施設を訪問し、必要な診療や口腔ケア、口腔ケアのアドバイスを行います。
ポータブルユニットと呼ばれる持ち運びが可能な歯を削るための機械やレントゲン機器を用意して伺いますので、歯科医院での治療とほとんど同じ治療をご自宅や施設で受けることができます。
通院が困難な方、またそのご家族はお問い合わせください。